Fortsetzung von: Willis Knie – Teil 1: Diagnose und OP
Am Freitag aus dem Krankenhaus entlassen, so wurde ich am darauf folgenden Montag bereits in der Waldklinik Jesteburg – dem Zentrum für Rehabilitation aufgenommen. Im Vorfeld hatte ich mich für eine ambulante Reha entschieden. Morgens gegen 8 Uhr wurde ich durch einen Fahrdienst der Klinik abgeholt und nachmittags von diesem wieder nach Hause gebracht. So konnte ich den Abend in den eigenen vier Wänden verbringen und in meinem eigenen Bett schlafen. Das Mittagessen nahm ich in der Klinik ein. Für die Ruhepausen steht ein Ruheraum zur Verfügung. Bei dem schönen Wetter Ende April/Anfang Mai 2018 verbrachte ich viel Zeit draußen an der frischen Luft. Mit der Gehhilfe kein Problem. Und bei dem wäldlichen Umfeld der Klinik geradezu ein Muss!

Waldklinik Jesteburg – Zentrum für Rehabilitation
Die Reha dauerte gut drei Wochen und beinhaltete neben der üblichen Krankengymnastik (einzeln und in kleinen Gruppen) und dem ‚Wasserballett‘ (Krankengymnastik im Bewegungsbad), Training auf dem Ergometer, Lymphdrainage und auch belehrende Vorträge zur gesundheitsbewussten Lebensgestaltung (!). Ich bestätige gern, dass ich die Zeit in der Reha durchaus genossen habe und die Waldklinik gern weiterempfehlen kann.

Willi ruht im Ruheraum der Waldklinik
So wurde es Mitte Mai. Zu diesem Zeitpunkt hatte ich nicht angenommen, dass ich noch weitere sechs Monate ‚krankfeiern‘ würde, obwohl der Chefarzt der Waldklinik in seinem Entlassungsbericht schrieb, dass „wir … von einem weiteren ambulanten Therapiebedarf von drei bis sechs Monaten aus[gehen].“
Apropos Entlassungsbericht! Ich fand es schon etwas komisch, wie hier unter Punkt 3.2 auch ein allgemeiner psychischer Befund zu meiner Person erstellt wurde. Demnach „[ist] Herr A. … dem Untersucher gegenüber freundlich zugewandt und macht adäquate Angaben. Aus dem Beschwerdebild ergeben sich keine Beeinträchtigungen der verbalen Kommunikation. Keine Orientierungsstörung. Keine Anzeichen einer depressiven Verstimmung oder weiterer psychiatrischer Erkrankungen. Keine Einschränkung bei der Bewältigung von Stress- und Krisensituationen.
Es bestehen keine Einschränkungen beim Lernen, der Anwendung des Erlernten, der Aufgabenlösung sowie der Kommunikation.
Herr A. zeigt sich zum Krankheitsverlauf ausreichend orientiert. Aus der Befragung ergeben sich keine Hinweise auf das Vorliegen psycho-sozialer Konfliktsituationen.“ – Nun denn, Herr Doktor!
Nach der Reha ging ich (zunächst noch auf Krücken) zweimal die Woche zur Krankengymnastik und wurde in der Praxis von Frau Ruth Brandt in Tostedt von Herrn Torsten Schulz bestens betreut. Späterhin nahm ich beim Todtglüsinger SV in der Fitnesshalle zweimal die Woche am Rehasport teil. Ich möchte mich hier bei Simone Barghusen, Karin Pinto da Silva und auch bei Tatjana Oshana-John für ihre Unterstützung bedanken. Ohne Zweifel haben mich Krankengymnastik und Rehasport (der übrigens von meinem Rententräger bezahlt wurde) ein großes Stück weiter gebracht.
Es dauerte lange, bis ich mein Knie wieder einigermaßen strecken und beugen konnte. In der Beugung schaffte ich lange Zeit gerade einmal einen Winkel von maximal 95 ° (etwas mehr als ein rechter Winkel). Zum Fahrradfahren werden mindestens 110° benötigt. Vom Orthopäden wurde so schon angedacht, eine Narkosemobilisation durchzuführen. Ich hatte so sechs Wochen bis zum nächsten Arzttermin Zeit, um die Beugung zu verbessern. Dank Heimtrainer, spezieller Dehnübungen (bis zur Schmerzgrenze) und dann auch durch den Erwerb eines E-Bikes (genauer: Pedelecs) der Firma Lehmkuhl (Serie P2 Classic 7-Gang) schaffte ich es dann: Der Orthopäde war zufrieden. Eine weitere Behandlung nicht mehr notwendig.
Und so arbeite ich seit dem 26. November 2018 wieder – zunächst je zwei Wochen a vier, dann sechs Stunden in einer Wiedereingliederung in das Erwerbsleben (läuft noch unter Krankmeldung und wird von der Krankenkasse bezahlt). Mit dem neuen Jahr arbeite ich wieder voll.
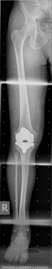
Was macht mein Knie heute? Es ist schon komisch, welche Antworten ich auf meine oft gestellte Frage bekam, wie lange es dauern wird, bis ich wieder beschwerdefrei laufen (sic!) kann. Zunächst war die Rede von drei, dann vier Monaten. Dann wurden es schon sechs Monate – bis zu einem Jahr. Von einem Bekannten hörte ich nun, dass er fast zweieinhalb Jahre brauchte, bis er wieder so gehen (sic!) konnte, wie er es sich wünschte. Heute nach fast neun Monaten seit der OP habe ich immer noch Beschwerden, leichte Schmerzen zwar nur, besonders in der Nacht beim Schlafen, beim Treppenhinabgehen oder beim Anziehen (Socken, Hose), aber immer noch zieht und ziept es. Im Grunde sollen durch ein neues Kniegelenk lediglich die Aktivitäten des täglichen Lebens wieder schmerzfrei ermöglicht werden. Wer mehr möchte, der muss selbst zusehen, wie er klarkommt. Ein menschliches Kniegelenk beinhaltet sehr komplexe Bewegungsabläufe, die durch eine Gelenkprothese nicht vollständig nachgebildet werden können. Bei einer Hüftprothese ist die ärztliche Kunst schon einen Schritt weiter. Schön, wenn man solches, wenn auch verspätet, doch noch erfährt.
Nun, ich will nicht klagen. In spätestens zehn Monaten gehe ich in Rente. Und bis dahin habe ich noch einige Zeit, um noch ein wenig mehr fit zu werden. Allerdings hat sich durch die Verlagerung des Firmensitzes mein Arbeitsweg fast verdoppelt. Morgens wie abends bin ich so bis zu zwei Stunden unterwegs, muss öfter umsteigen und dabei oft genug wegen Verspätungen hinter Bahn oder Bus hinterhersputen, was mit einem immer noch nicht ganz funktionsbereiten Knie nicht gerade ratsam ist.
Mein Rat für Leidensgenossen/-innen: Geht möglichst früh zum Orthopäden (wenn’s im Knie zu knirschen beginnt). Ist die Implantierung einer Totalendoprothese unumgänglich, dann kann damit gewartet werden, solange die Schmerzen nicht zu groß sind. Aber das muss jeder für sich (mit ärztlichem Rat) selbst entscheiden.
